November 2023 digest

The preparation of our next meeting is now launched. Martin STEINHOFF and his team will welcome us next year for the 14th Georg RAJKA Symposium in Qatar, on October 24-26, 2024, at the Sheraton Doha.

Dear Colleagues, Dear Friends,

The date has been slightly anticipated to allow our Middle East colleagues to attend both our meeting and the major annual middle East Dermatology meeting, MEIDAM, which has moved to November next year.

Pursuing the theme developed by ISAD at the WCD Singapore earlier this year, a Global Health perspective will remain on focus, with the goal to allow access to better care for all AD patients, and a broader access to innovative drugs for the most severe patients. The position paper “Atopic dermatitis: a Global Health perspective” which details our policy, as derived from the Singapore symposium, is currently accepted by the JEADV and will be available open access when released.

Pruritus, the cardinal symptom of AD, has been frequently neglected at AD meetings, because mainstream investigations concentrated on skin barrier, immunology, inflammation, genetics, microbiology, etc. and that the patients’ complaints were clearly not at the center of the stage.

Prof. Martin Steinhoff MD, PhD, M.Sc., FRCPI
Head of Dermatology Department,
Hamad Medical Corporation.
Doha, Qatar

Because of its novel treatments, pruritus is now a very hot topic in dermatology and neuroimmunology, and Martin STEINHOFF is a lead investigator in this field, with a particular interest in AD and related conditions such as prurigo nodularis. Pruritus will be the major theme of the meeting, and patients ‘voices will ultimately be heard.

The Middle East setting is new for ISAD. The adaptation to a particular climate context and specificities among local populations will be highlighted.

For those interested in rare atopic phenotypes in the context of inherited disease, Middle East has been a first-class choice for gene hunting in dermatology over the last three decades. The application of targeted therapies to this rare disease subgroup has changed the life of patients, and this aspect will also be covered by local dermatologists.

News on PubMed

Based on the recent JEADV ISAD position paper, for the 150-200 million individuals affected with AD corresponding to more than 2% of the world population, most cases being mild-to-moderate, current AD guidelines are not adapted for low resource settings especially to ensure access to baseline therapy, including moisturizers and topical corticosteroids.

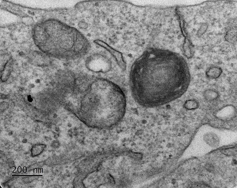
(1) In vitro preparation of multilamellar liposomes (cryo transmission electron microscopy)

Recent studies combining the efforts of dermatology researchers and physico-chemists at INSERM and CNRS labs of Bordeaux University have shown that it is possible to optimize the vectorization of topical corticosteroids by modifying the size, elasticity, and charge of multi-lamellar liposomes (MLLs), a low-cost device to encapsulate drugs. They developed several MLLs formulations containing betamethasone 17-valerate (B17) to transport the drug into the stratum corneum, living epidermis, dermis or through the skin. MLLs encapsulation efficiency was found to exceed 74 ± 3 % in all cases. Comparing the penetration depth of all MLLs within artificial skin measured by Raman imaging, they established an equation for its determination, given the MLLs elasticity and size. This equation was verified experimentally on human explants: quantification of B17 in each skin layer, as well as its transdermal passage by ultra-high performance liquid chromatography, confirmed that B17 was predominantly and significantly transported in the desired layer

(2) after drug encapsulation within epidermal reconstructs

If translated by the industry for the large global AD markets, such new vectorization of TCS may provide a low-cost anti-inflammatory treatment with less risks of systemic and local side effects as compared to conventional delivery, and a combined emollient effect improving the skin barrier.

Bernasqué et al, Eur J Pharm Biopharm PMID: 37708944

Best regards,

Alain TAÏEB
President ISAD